線上預約

學童近視管理全方案

替孩子的近視踩剎車,擊退惡「視」力!

近視是疾病!

根據衛福部統計顯示(註),台灣幼稚園大班學童近視率達 9%,平均每 10 人有 1 人近視,其後每年級往上升 10%,至國小六年級的學童已有 70.6% 的近視盛行率。到了國中三年級近視率更達 9 成。而進入高中階段的近視族群,其中 3 成是超過 500 度的高度近視患者。

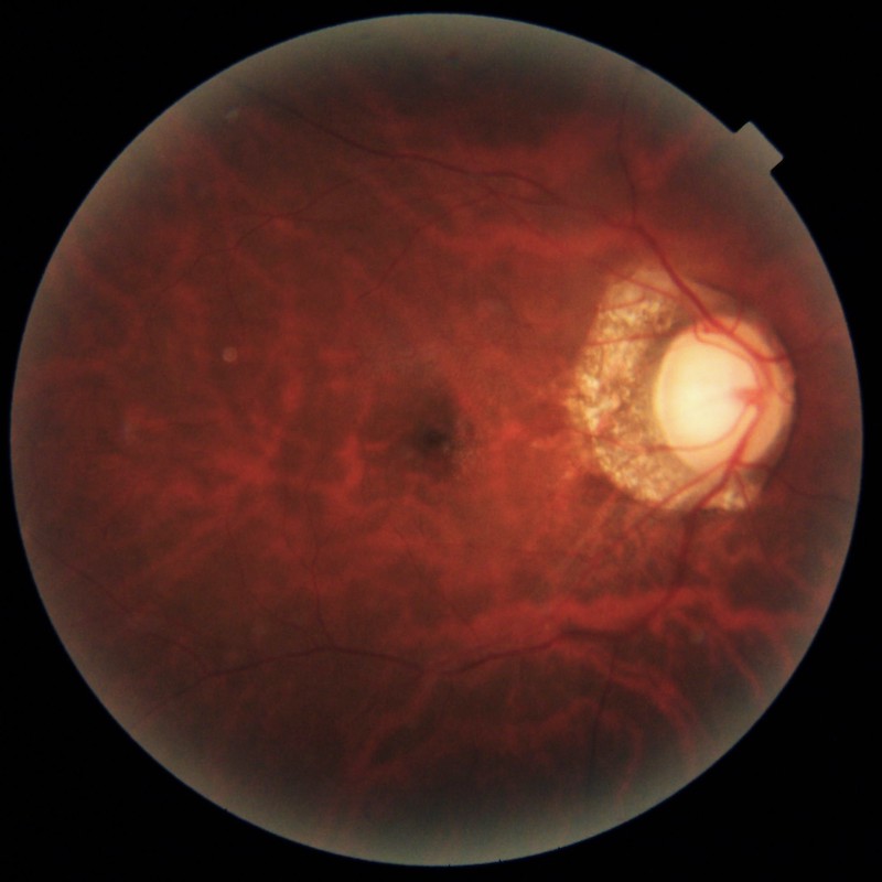
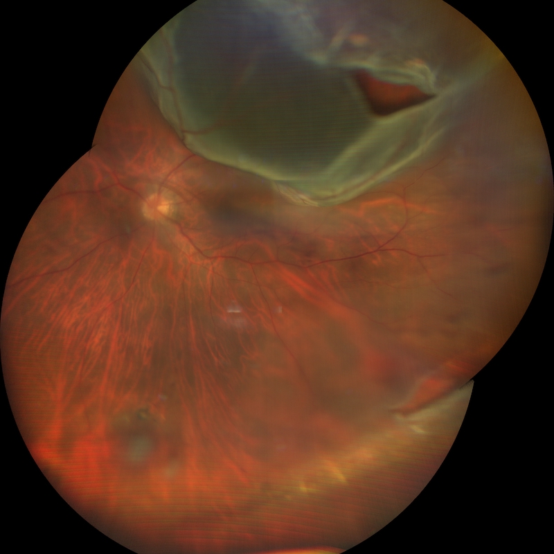
高度近視患者,將來容易併發早年性白內障、青光眼、視網膜剝離及黃斑部病變,嚴重眼疾併發症的機率,比一般近視族群高出許多,甚至有 10% 會導致失明。
而國小時期正是眼睛發育的關鍵時期,對於尚未近視的小朋友,建議「延後開始近視的時間」,倘若已有近視度數,則須「抑制近視增加的速度」,才能有效擊退惡「視」力!

*參考資料:衛福部國民健康署 2017 年「兒童青少年視力監測調查」結果
https://www.mohw.gov.tw/cp-16-41061-1.html

越早近視,越容易變成高度近視!

由於一旦近視,就終生近視,平均每年會增加75-100度。因此越早近視,發展成高度近視的機率就越大!
當一旦發生之後,「有效近視管理」就成為格外重要的課題!

高 度 近 視 的 風 險

白內障

機率提高
5.5倍以上

青光眼

機率提高
3.3倍以上

視網膜剝離

機率提高
21.5倍以上

黃斑部病變

機率提高
40.6倍以上

孩子近視了,該怎麼辦?
對抗近視的法寶們!

1.近視控制 + 近視矯正
方案

近視管理鏡片

近視控制專用日拋

角膜塑型片

適用時間 全時配戴 白天配戴 晚上配戴
介 紹 透過多焦控制技術或周邊離焦設計,讓小朋友配戴的同時也能控制近視度數成長,減緩近視加深 專門為孩童設計的日拋型隱形眼鏡,透過專利光學設計,讓孩子矯正視力的同時,也能控制近視度數,並省去隱形眼鏡清潔、保養的麻煩 夜戴型高透氧硬式隱形眼鏡,利用角膜可塑性,輕柔改變角膜弧度,白天免戴眼鏡也能看得清晰,長期配戴可有效控制近視度數增加。
優勢特色 安全無侵入性沒有過敏、感染或副作用等風險 鏡片無須額外清潔保養異物感低 度數增減可隨時調整,靈活性高 夜間配戴,白天完全無須矯正,學習活動都方便
適用族群 眼睛較敏感、不習慣戴軟硬式隱形眼鏡,同時希望配戴眼鏡時又能減緩近視加深的學童 不喜歡配戴眼鏡、較無法忍受角膜塑型片異物感的孩子 希望白天無須矯正就能擁有清晰視力的孩子
注意事項 鏡框要配合臉型,並且要注意配戴不要偏位,以免影響近視控制效果哦!運動、戶外活動時也要留意眼鏡掉落或碰撞。 配戴時需要避免揉眼睛,以免日拋隱形眼鏡掉落避免碰水,以免造成眼睛感染 建議由家人陪同進行角膜塑型片清潔保養夜間睡眠時間要充足,否則會影響白天矯正效果
了解詳情 了解詳情 了解詳情
2.近視矯正
3.近視控制
方案

一般近視眼鏡

長效型散瞳劑

適用時間 全時配戴 全日可用
介 紹 一般近視鏡片中央區成像會落在視網膜中央,但周邊影像聚焦在視網膜後,對於近視控制無效果。 透過藥物放鬆睫狀肌,延緩近視度數惡化。
優勢特色 安全無侵入性沒有過敏、
感染或副作用等風險
價格便宜,
需要搭配其他近視矯正工具
適用族群 不習慣戴軟硬式隱形眼鏡、
且有預算考量的近視族群
已有眼鏡或其他近視矯正方式,
可搭配散瞳劑進行近視控制
注意事項 一般近視鏡片不具近視控制效果,建議搭配散瞳劑延緩近視惡化運動、戶外活動時須留意眼鏡掉落或碰撞。 用藥後眼睛瞳孔會放大因此可能產生畏光現象,
須做好眼睛防曬!

解決方案四象限比較圖

TEAM
醫療團隊

SERVICE BASE 服務據點

台北院區
板橋澄清
澄清國際眼科醫院
小港澄清
澄清國際
馨蕙馨醫院 眼科部
台南院區
台中白佳欣眼科
台北院區
醫師門診表
醫師門診表
上一月
下一月
板橋澄清
醫師門診表
上一月
下一月
澄清國際眼科醫院
醫師門診表
上一月
下一月
小港澄清
醫師門診表
上一月
下一月
澄清國際
醫師門診表
上一月
下一月
馨蕙馨醫院 眼科部
醫師門診表
上一月
下一月
台南院區
醫師門診表
上一月
下一月
台中白佳欣眼科

全方位近視管理專家
澄清眼科

# 專業團隊 # 完整設備 # 豐富經驗 # 多元選擇 # 貼心服務
立即預約諮詢
注意事項
若您欲預約雷射諮詢檢查,請先留意:
1. 配戴軟式隱形眼鏡者,檢查前請先停戴滿 3 天,為提升精準度,建議停戴滿 7 天。
2. 配戴硬式隱形眼鏡者,檢查前請先停戴 14 天。
3. 孕婦或哺乳期婦女,因荷爾蒙影響會造成角膜弧度、厚度、形狀有所改變。為確保檢查準確性,建議產後或哺乳結束後一個月後再進行諮詢檢查。

正確用眼習慣


附註:依據衛生福利部國民健康「護眼六招」視力保健內容